- CONDITION
- 歯ぎしりの病状

- ●歯の咬耗(こうもう)
- ●アブフラクション、楔状欠損(WSD)
- ●クラック、チッピング、フラクチャー(破折)
- ●つめ物、かぶせ物が頻繁にとれる
- ●歯肉退縮
- ●知覚過敏
- ●歯の動揺
- ●骨隆起(口蓋隆起、下顎隆起)
- ●舌や頬粘膜の圧痕
- ●顎関節症状
- ●咬筋の圧痛、筋肉痛
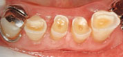
- ATTRITION
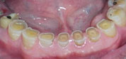
- 歯の咬耗(こうもう)

- 下顎前歯の咬耗



- かぶせ物の咬耗

- 奥歯の咬耗

- WSD
- アブフクラクション・楔状欠損(WSD)


- CRACK
- クラック・ひび、亀裂





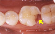
- CHIPPING
- チッピングやフラクチャー(破折)

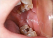
- チッピング

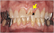
- 奥歯の歯冠破折

- 前歯の歯冠破折

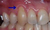
- RETRACTION
- 歯肉退縮





- PROTUBERANCE
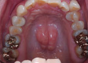
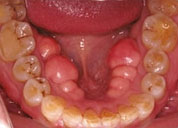
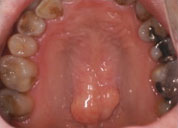
- 骨隆起

- 上顎(口蓋隆起)


- 下顎


- INDENTATION
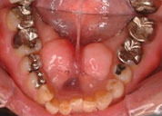
- 軟組織の圧痕

- 舌の圧痕

- 頬粘膜の圧痕

- SYMPTOMS
- 顎関節の症状



- 口を開けようとすると痛い

- 顎を動かす時に音がする

- あまり大きく口が開かない
※顎関節症はこわくない/砂書房より
- WHATS
- 歯ぎしりの種類




- Gnashing(ナッシング)
- 歯をきしませる=歯ぎしり
- ある一定の場所だけで、ぎしぎしこすり合わせる運動
- Grinding(グラインディング)
- 歯を広い範囲で運動させ、磨耗させるような運動
- 歯の全体を横にグリグリこすり合わせる運動
- Clenching(クレンチング)
- 上下の歯を無意識のうちに噛みしめてしまう運動
- Tapping(タッピング)
- 上下の歯を動的にカチカチと噛み合わせる動作→臨床的な問題は不明確?
といろいろありますが一般的にいう歯ぎしりとは…
上記のナッシング、グラインディング、クレンチングの混合型と考えられています。
上記のナッシング、グラインディング、クレンチングの混合型と考えられています。
- CAUSE
- 歯ぎしりの原因は?


- 以前は、歯ぎしりの原因は噛み合わせと考えられていました。しかし、最近では、心因性や癖であると言われています。
つまり、ストレスが歯ぎしりを起こしてしまう最大の原因であると考えられています。ストレスを発散するための手段が歯ぎしりとなって現れているようです。
- 歯ぎしりのリスク

歯ぎしりは、就寝中に無意識にしてしまうものです。本人が治そうと思っていても中々難しいと言えるでしょう。ましてや、歯ぎしりをしているという自覚のない場合もあります。前述のように、歯ぎしりをしていると、歯や歯肉、骨、顎関節になんらかの徴候が現れます。
- どうしたら歯ぎしりは治る?

前述のように歯ぎしりは、ストレスが主な原因と考えられています。原因となるストレスを解消することが、歯ぎしりを治す根本的な治療法と言えるでしょう。対処療法として、就寝時にナイトガードを装着することで歯が割れたり、擦り減る事を極力防ぐことが出来ます。
- THERAPY
- すり減った歯の治療

- 重度に咬耗した歯を治すには、かなりの労力が必要となってきます。
一般的には、歯牙を1本ずつ削り、全てかぶせで修復することになります。時間と労力だけでなく、治療費用も高額になってきます。場合によっては、抜歯や矯正治療が必要なときもあります。



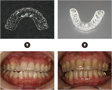
- NIGHT GUARD
- ナイトガードでの治療


- ナイトガードをすることで、自分の咬む力で歯が破壊されていくことを少しでも遅らせ、
歯の寿命を延ばすことができるかもしれません。
歯を失う原因はむし歯や歯周病だけではありません。歯並びや歯ぎしりによる自分自身の咬む力によっても歯は、ダメージを受け何らかの支障をきたすようになります。虫歯や歯周病の治療だけでなく、咬み合わせや歯ぎしりの治療もしていくことで、歯の寿命を延ばすことができ、年をとっても自分の歯でしっかり咬んで食事をすることができるでしょう。心当たりのある方は、ナイトガードで歯を守りましょう!!














