- REASON
- なぜ歯を抜かないといけない?

- 治療を行っても良い結果が望めない
- ▼
痛み・腫れを繰り返す
- 他の健康な歯にも悪影響を及ぼす
- ▼
隣の歯が虫歯・歯周病になる
- CAUSE
- 抜歯の原因

- 1位歯周病

- 歯を支える骨がなくなり、グラグラになる
- 噛むと痛く、しっかりと噛めない
- 歯茎が腫れ、膿が出てくる
これらの症状は、状態がひどくなるまで現れない場合が多い。
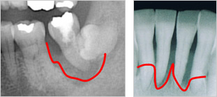
- 2位虫歯

- 虫歯が大きくなって、歯茎の下や骨のラインよりも深く虫歯になっている状態
- 治療しても長持ちしない
虫歯の箇所が大きいと削る量が増え、結果的に抜歯になってしまう。
赤い線が骨の位置
青い線が健康な歯の位置
青い線が健康な歯の位置
- 3位破折(はせつ)

- 歯の根が折れていたり、割れている状態
- 割れている部分から汚れが入り込んで歯周病のように骨がなくなる
- 歯茎が腫れたり、膿が出てきたりする
- 噛むと痛い
自覚症状がなく経過する場合もある。
- CASE1
- 親知らずを抜歯した方が良い場合


- ●手前の歯と同じように生えてきているが、歯磨きが上手に出来ない、治療器具が届きにくい場合(虫歯や歯周病になってしまう可能性)
- ●横向きに生えていたり、中途半端に生えて歯の一部だけ見えている場合
- ●歯並びを悪くする恐れがある場合
- ●骨の中に完全に埋まっているが、レントゲン写真上問題がある場合
- CASE2
- 親知らずを抜歯しなくても良い場合

- ●手前の歯と同じように生えてきていて、歯磨きも特に問題なくできる場合
- ●親知らずよりも前にある歯を失った場合に、その後の治療に必要な場合
- ●その他、特に悪影響を及ぼすことがないと判断された場合
- ●骨の中に完全に埋まっていて、レントゲン写真上問題が無い場合
- DISEASE
- 抜歯の際、注意すべき疾患について

- 循環器系疾患(血管が詰まる病気など)
- ▼
脳梗塞・心筋梗塞(抗凝固剤の服用)、高血圧
- ビスフォスフォネート製剤を服用してる
- ▼
骨粗鬆症、乳ガン、前立腺ガンなど
- 糖尿病
- ▼
傷の治りが悪い・感染の危険
- 妊娠初期・後期
- ▼
流産、早産の危険
- 痛み、腫れなどが強い場合
- ▼
麻酔が効きにくかったり、一時的に痛みが強くなる場合があります
以上のような疾患を有する、または状態にある患者様は問診の際スタッフに申し出て下さい。
- MEDICINE
- 抜歯の際注意すべき薬について

- 抗凝固剤
- ▼
- 血管が詰まる危険性のある病気(脳梗塞・心筋梗塞)に用いられる血液をサラサラにする薬
- 例)ワーファリン、ヘパリン、バファリン81、バイアスピリン、パナルジン
問題なく抜歯出来る場合もありますが、主治医に相談させて頂き、その判断のもと、お薬を休薬して頂いたり、抜歯不可能になる場合もあります。
- ビスフォスフォネート製剤
- ▼
- 骨粗鬆症の治療や、癌(乳ガンや前立腺ガン)の骨への転移を抑制する為に用いられる。
- 例)点滴の薬
- ゾメタ、ビスフォナール、テイロック、アレディア
- 例)飲み薬
- ダイドロネル、フォサマック、ボナロン、アクトネル、ベネット
※最近になってビスフォスフォネート製剤を服用している患者さんが、歯科において抜歯などの外科処置後に顎骨壊死(抜いた部分を中心にして顎の骨が腐る)を起こす可能性が高いことが明らかになってきました。
※これらの薬を服用している場合は、事前にスタッフに申し出て下さい。
- PAIN
- 抜歯後の痛み・腫れ・出血について

- ●痛み・腫れ
- 通常2~3日をピークに次第に治まっていきます
- ●出血
- 通常は1~2日でほぼ止まります
上記の痛み・腫れ・出血については個人差がありますので、
術前にある程度は予測は出来ますが、処置後に症状が強く出る場合がありますのでご了承ください。
術前にある程度は予測は出来ますが、処置後に症状が強く出る場合がありますのでご了承ください。
- TROUBLE
- 抜歯後のトラブル

- ●下歯槽神経麻痺(治癒に数か月~1年)
- 抜歯の際に神経を圧迫し、一時的に痺れなどが生じる
- ●歯性感染症
- 術後傷口から細菌が感染した場合
- ●ドライソケット
- 術後何らかの原因で、傷口を覆う血の塊が脱落して骨が剥き出しになった状態(うがいのしすぎなど)
これらのトラブルは術前の診査や、患者様に術後の注意事項を守って頂くことで避けることが可能です。
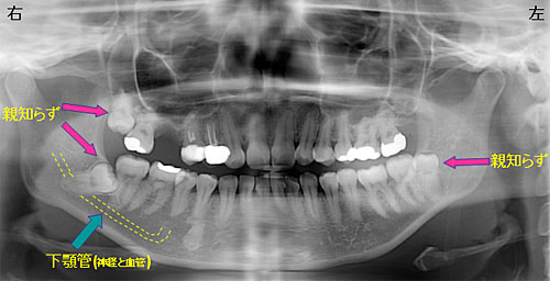
- MANDIBULAR
- 下顎管について


- ●下顎の骨の中には「下顎管」と呼ばれる神経と血管が通っている管が存在します。
- ●親知らずがこの管とレントゲン上で近い場合や、重なっている場合は神経麻痺や、損傷の可能性がある為、当院での抜歯が困難な場合があります。
- CAUTION
- 抜歯後の注意事項

- 術後の再出血や感染を防止する為に、以下の事を守って下さい。
- 1.麻酔が醒めるまでは飲食は控える。
- 2.当日は『飲酒禁止』『激しい運動は控える』『熱いお風呂に長時間入らない』⇒血行が良くなる為。
- 3.当日の歯磨きは、歯磨き粉を使わずに傷口を避けてブラッシング。激しいブクブクうがいをしない。
- 4.抜いた部位は触らない。
- 5.お薬は指示通り飲みきる。
- ※お家に帰られてからも出血が気になるようでしたら、清潔なガーゼを10分程、強く咬んで圧迫止血して下さい。
- ●当院での抜歯が困難な場合
- ※検査の結果、事前に前述のような疾患を有する場合や、トラブルが予想される場合は大学病院や総合病院の歯科口腔外科に御紹介させていただくことがあります。
- ※抜歯を行うにあたって、事前に主治医の先生に御相談させていただくこともありますので、現在通院されている病院・主治医の先生の氏名を受付にて申し出て下さい。












