Periodontal
歯周病治療
ほんとうに怖い歯周病というお口の病気
歯周病は、大切な歯を奪ってしまうだけでなく、全身疾患とも深い関わりがあることがわかってきました。歯周病菌が肺や血液を通じて全身をめぐり、心筋梗塞、脳梗塞や、糖尿病などさまざまな病気と関係しています。原因を探していたら、なんとそれが歯周病だった…というケースも少なくありません。歯周病を甘く見ず、予防とともに早期治療に努めましょう。
JR高槻駅直結の歯医者 高槻ステーション歯科
歯周病の症状
以下の症状にあてはまる方は、歯周病の可能性があります。
お早めにご相談ください。
- 朝起きた時に、口の中がネバネバする
- 歯を磨いた時に血が出たり口臭が気になる
- 歯と歯の間に食べ物が詰まりやすい
- 硬いものを噛むと痛む
- 以前に比べて歯が長くなったような気がする
- 歯がグラグラする歯が浮いているような気がする
- 歯茎が赤く腫れたり、膿が出る
JR高槻駅直結の歯医者 高槻ステーション歯科
歯周病とは?
歯周病菌が引き起こす感染症のことです。
歯肉や骨などの歯の周りの組織を破壊します。
良い歯ぐき
- 引き締まって薄いピンク色をしている
- はみがきで出血しない
改善した歯ぐき
- 歯ぐきの腫れがひき、歯茎のラインが下がる
- 歯と歯の間に隙間ができる
- 揺れが小さくなる
悪い歯ぐき
- 歯ぐきが赤く腫れている
- 歯ぐきから出血する
- 歯ぐきが痛がゆい、うずうずする
- 歯ぐきから膿が出る
- 嫌なにおいがする
- 歯がグラグラ揺れる
歯周ポケットとは?
歯と歯ぐきの間にある溝のことです。誰にでもあるもので正常値は2~3mmですが、歯周病が進行したり歯ぐきが腫れると深くなります。
JR高槻駅直結の歯医者 高槻ステーション歯科
噛むことと老化・認知症の関連
歯肉炎
歯の周りにプラークが付着し、炎症を起こしています。ブラッシングを頑張れば健康な状態に戻れます。
- ブラッシングをすると出血する
- 歯周ポケットの深さは3~5mm
軽度(P1)
骨の吸収が始まります。一度溶けてしまった骨は元に戻らないので、これ以上悪くならないためにも歯ぐきの中のお掃除が必要です。
- 歯周ポケットの中に歯石が付き始める
- 歯周ポケットの深さは4~5mm
中度(P2)
歯がグラグラし始めるなど、自覚症状もでてきます。外科的な処置が必要となってきます。
- 膿が出てくる
- 口臭がある
- 歯周ポケットの深さは5~7mm
重度(P3)
ここまで進行すると、基本的には抜歯対象です。骨はほとんどなく、グラグラも著しくなっています。
- 支えはほとんどなくなる
- 歯周ポケットの深さは7mm以上
JR高槻駅直結の歯医者 高槻ステーション歯科
歯周治療の流れ
01
審査、診断
骨破壊の状態をレントゲンで調べる。歯周ポケットの深さ、炎症の有無を調べる(歯周基本検査)。磨けていないところを調べる(染め出し)。
02
ブラッシング指導
鏡を見ながら歯磨きの練習をして頂きます。
03
縁上歯石の除去
専用の機械を使い、主に歯ぐきより上の歯石(縁上歯石)、汚れを取り除きます。
04
精密検査
中等度以上の歯周病の場合は検査後、もう少しお掃除をしていくことになります。縁上歯石の除去で十分な方は歯面を研磨し、細菌を取り除いて終了します。
05
縁下歯石の除去
中等度以上の歯周病の場合は検査後、もう少しお掃除をしていくことになります。縁上歯石の除去で十分な方は歯面を研磨し、細菌を取り除いて終了します。
06
精密検査
縁下歯石の除去で歯周組織が十分改善された方は歯面を研磨し、細菌を取り除いて終了します。縁下歯石の除去で歯周組織が改善されない重度の歯周病の方は必要に応じて歯周外科手術を行うことがあります。
07
歯周外科手術
歯周ポケットが深く狭い所、複雑な歯根形態の部分は汚染物質(歯石やプラーク)が完全に除去できる率が下がります。残してしまえば当然再発の危険性が高くなりますので、必要に応じて歯周外科手術を行うことがあります。
08
メンテナンス
改善した歯周組織の状態を長く維持していくために、定期的なプロフェッショナルクリーニングを受けていただきます。
JR高槻駅直結の歯医者 高槻ステーション歯科
歯周組織検査
プローブというメモリのついた器具を使って、歯周ポケット(歯肉溝)の深さなどを測定します。
簡易的に歯周病の状態を知る歯周基本検査と、細かく歯周病の状態を知る精密検査があります。
この検査からわかること
- 出血あり→歯ぐきに炎症があります
- 数字が大きい→歯周病が進行しています
- その他、歯の揺れ具合や歯石の量も確認していきます。
JR高槻駅直結の歯医者 高槻ステーション歯科
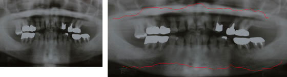
歯周病のレントゲン写真
ほぼ健康な方の骨の状態
ほぼ健常な方の骨の位置です。歯が骨の中に2/3位入っています。
状態:健常な状態
少し歯周病が進行された方の骨の状態
少し歯周病が進行してきた方の骨の位置。歯が骨の中に半分ほどしか入っていません。
状態:軽度(P1)、中度(P2)
重度の歯周病の方の骨の状態
重度に歯周病が進行した方の骨の位置です。歯が骨に1/3以下しか入っていません。
状態:中度(P2)、重度(P3)
JR高槻駅直結の歯医者 高槻ステーション歯科
歯周病進行を防ぐには
機械では取りきれない、歯周ポケットの奥深くにある歯石のことを縁下歯石と言います。歯周ポケットに縁下歯石が存在すると、さらに歯周病が進行していき、骨吸収が始まります。歯周病の進行を防ぐためには、これらを取り除くことが大切です。
手用スケーラーを使って、縁下歯石や歯根の表面の汚れ細菌を取り除きます。
JR高槻駅直結の歯医者 高槻ステーション歯科
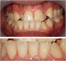
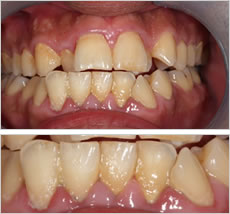
歯周病治療による効果
Before
プラークコントロール不良により、歯の周りにプラーク、歯石の付着がみられます。歯ぐきが赤く腫れあがっています。
After
初診時と比べてプラークコントロールが改善され、ほとんどプラークの付着が見られません。歯ぐきが赤く腫れあがっていたのが引き締まりピンク色になってきています。

