Orthodontic
矯正歯科
矯正歯科専門医による確かな歯並び改善
歯並びでお悩みはございませんか?歯並びを矯正によって改善すると様々なメリットがあります。矯正治療は、コンプレックス改善による精神的なメリットと、噛み合わせ改善による身体へのメリットがあります。健康的な体と心をつくるための歯科治療です。矯正治療で、笑顔溢れる毎日を手に入れることができます。
矯正歯科専門医による確かな実績・経験に基づいた矯正治療
当院の矯正治療は、すべて矯正歯科の専門医がカウンセリングから検査・診断、アフターケアまで一貫して対応します。
矯正歯科専門医のご紹介
矯正医 中尾 信彦
NAKAO NOBUHIKO
矯正治療をお考えの患者さんは、様々な期待や疑問、不安をお持ちだと思います。
安心、納得頂けるように説明させて頂きますのでまずはお気軽にご相談下さい。
JR高槻駅直結の歯医者 高槻ステーション歯科
歯並び気になりませんか?
八重歯
オープンバイト
上顎前突
下顎前突
矯正治療必要なのは子供だけではありません。成人でもオープンバイト・下顎前突・上顎前突などのような不正歯列であれば、矯正治療の適応になります。
また、歯を喪失して歯牙の移動がおこっている場合も矯正治療が必要となってきます。
JR高槻駅直結の歯医者 高槻ステーション歯科
矯正治療のメリット・デメリット

01.歯並びが綺麗になる
歯並びの見た目が改善されるので生活に自然と笑顔が増えます。大きく口をあけるコンプレックスが改善され日々の生活が大きく変わります。

02.虫歯や歯周病のリスクが減る
歯並びが改善されると、日々の歯磨きが効果的なものになり、食べ残しや歯垢が溜まりにくい健康的な口腔内になります。

03.噛み合わせが良くなる
噛み合わせが良くなることは、日々の食事をしっかり咀嚼する事ができ、健康的に栄養を摂ることに繋がります。

04.お口が清潔になり口臭予防にも
歯並び改善で、日々の歯磨きが効果的なものになります。お口の中を清潔な状態に保ちやすく、口臭の軽減に繋がります。

05.歯を大切にする習慣ができる
矯正治療が完了すると、歯に対しての意識が強まり、歯科検診やクリーニングを定期的に受診したりと歯を大切にする意識が芽生えます。

06.滑舌や発声が改善される
歯並びの改善は、発音や滑舌にも良い影響を与えます。聞き取りやすい声で話す事ができ、円滑なコミュニケーションが可能になります。
デメリット
- 自由診療なので費用が高額になる
- 矯正治療中は装置によっては違和感や食べにくさがある
- 矯正の治療期間が長い
- 矯正中は虫歯や歯周病になりやすくしっかりお手入れする必要がある
JR高槻駅直結の歯医者 高槻ステーション歯科
矯正治療の内容
患者さんに安心・安全な矯正治療をご提供するため、
最新設備などを導入した歯並び改善治療を行います。
表側ワイヤー矯正
歯の表面に金属性のワイヤーとブラケットを装着して歯を徐々に動かす、もっともオーソドックスな矯正装置です。金属製なので薄くて丈夫、歯にかける力の調整がしやすいく、多くの症例に対応することができます。
裏側ワイヤー矯正
歯の裏側に矯正装置を取り付ける治療です。正面からは全く矯正中だという事が分からない審美性の高いブラケットです。まわりの目を気にせず矯正治療に専念したい方にお勧めです。片顎のみ、歯の裏側に装置を装着する方法も選択可能です。
部分矯正
前歯の部分的な矯正に特化したのが部分矯正です。前歯だけ傾いていたり、歯と歯の間に隙間があったり、歯並びが少し歪んでいるような場合に部分的な矯正治療で歯並びを整える矯正です。全顎矯正と比べて費用や治療期間を抑えることが可能です。
マウスピース矯正/インビザライン
透明で目立たないマウスピース矯正です。当院では『インビザライン』を使用しています。透明で目立たない・ご自身で取り外しが可能で、矯正中に生じるストレスも比較的少ない矯正治療です。目立たない矯正治療をご希望の方にお勧めです。
詳細はこちら
小児矯正
子供の矯正治療は、お子さまの成長に合わせて、将来的に永久歯が綺麗に並ぶための歯並び改善治療を行います。子供のための透明で目立たないマウスピース矯正も承っております。様々な矯正装置の中から、最適な矯正装置をご提案します。
詳細はこちら
矯正歯科の無料相談随時実施中!!
当院では、初回の無料矯正相談を実施しています。矯正治療に関して、治療期間や費用について分かりやすくご案内させて頂きます。まずは初回の無料相談にご来院ください。
矯正無料相談についてJR高槻駅直結の歯医者 高槻ステーション歯科
矯正歯科の流れ
01
初回矯正無料相談
問診や視診をしながら診察を行います。矯正治療についての不明点など何でもお聞かせください。
02
精密検査
レントゲン撮影や歯型作成など治療計画に必要な資料をとります。虫歯・歯周病の有無なども検査します。
03
矯正歯科診断
精密検査の結果を元に、診断と治療計画・治療方法ならびに治療期間、料金について丁寧にご説明します。
04
矯正治療のスタート
検査・診断の結果を患者さんにお伝えし、ご納得いただけましたら矯正治療がスタートします。
05
経過観察
矯正治療中は、装置により異なりますが約1~3ヶ月に1度の頻度でご来院頂き、経過観察を行います。
06
保定期間
矯正治療で歯並びが改善されると、後戻りを防ぐために保定装置を装着する期間があります。
JR高槻駅直結の歯医者 高槻ステーション歯科
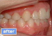
矯正症例の紹介
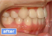
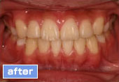
反対咬合
下あごの前歯が上あごの前歯より前に出ている状態です。






| 症例情報 | 12歳女性の症例 |
|---|---|
| 治療前 | 受け口で八重歯と下顎の歯のガタガタが軽度にありました。 |
| 治療内容 | 上下顎の第一小臼歯を抜歯。八重歯やガタガタを正しい位置に配列し、前歯の受け口を改善しました。 |
| 副作用・リスクなど | 下顎の成長は上顎よりも後にあるので、下顎の成長によっては顎手術の適応になる場合や治療期間が延びる可能性があります。 |
| 通院回数 | 1~1.5カ月に1回 |
| 治療期間 | 2年半で動的治療は完了 |
| 費用 | 約60~80万円 |
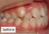
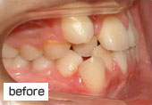
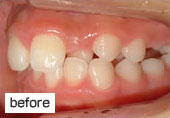
乱ぐい歯/抜歯なしで治療






| 症例情報 | 16歳男性の症例 |
|---|---|
| 治療前 | 顎の大きさが歯に対してかなり小さいため、歯列が凸凹で八重歯になり、前から2番目の歯は内側に入っていました。 |
| 治療内容 | 顎を広げて歯が並ぶ隙間を作り、歯を抜かずに治療しました。。 |
| 副作用・リスクなど | ガタガタの量や顎の大きさによっては歯を抜かずに治療できない場合や、歯を抜かず無理に並べた場合は前歯が前方に突出することがあります。 |
| 通院回数 | 1~1.5カ月に1回 |
| 治療期間 | 2年で動的治療は完了 |
| 費用 | 約60~80万円 |
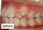
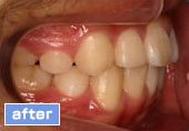
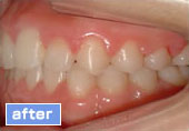
乱ぐい歯/抜歯ありで治療






| 症例情報 | 23歳男性の症例 |
|---|---|
| 治療前 | 顎の大きさが歯に対してかなり小さいため、歯列が凸凹で八重歯になり、前から2番目の歯は内側に入っていました。 |
| 治療内容 | 顎と歯の大きさの不調和が著しいため、犬歯の後ろの第一小臼歯を抜歯。八重歯を正しい位置に移動させ、内側に入っている歯の隙間を作り、歯を配列しました。 |
| 副作用・リスクなど | 歯を抜かない治療より時間がかかる可能性があります。 |
| 通院回数 | 1~1.5カ月に1回 |
| 治療期間 | 2年半で動的治療は完了 |
| 費用 | 約60~80万円 |
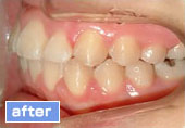
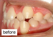
空隙歯列(すきっ歯)






| 症例情報 | 11歳女性の症例 |
|---|---|
| 治療前 | 顎に対して歯が小さいため、全体的に隙間があり、上顎の前歯が1本内側に入っていました。 |
| 治療内容 | 歯を配列する隙間は十分にあったので、歯を抜かずに配列し、内側に入っていた歯は矯正装置で正しい位置に移動させました。 |
| 副作用・リスクなど | 隙間がもともとあった歯列は後戻りで再度空いてきやすいので、治療後に歯の裏側に細いワイヤーで固定する場合があります。 |
| 通院回数 | 1~1.5カ月に1回 |
| 治療期間 | 2年で動的治療は完了 |
| 費用 | 約60~80万円 |
※掲載している費用は治療当時のものです。現在では料金が改定されている場合もあるのでご注意ください。
JR高槻駅直結の歯医者 高槻ステーション歯科
院内独自の分割お支払い
高槻ステーション歯科では、矯正料金のお支払いを楽にするため、院内独自の分割お支払い方法が選択可能です。
※その他お支払いには、各種クレジットカードもご利用いただけます。
※分割の対象は矯正基本料のみになります。検査・診断料や調整料には適用されません。
JR高槻駅直結の歯医者 高槻ステーション歯科
初回の矯正無料相談
矯正歯科専門医による相談を受付中
矯正治療に興味があるけど不明点が多い、自分がどのような方法で矯正治療が可能か知りたいなど、
まずはご相談にお越しください!
このようなお悩み、矯正医に相談しましょう!
- 矯正治療に必要な費用や期間を知りたい
- 自分がどのような装置で矯正治療が可能か知りたい
- 矯正治療についての疑問点や不明点を矯正歯科の専門医から話を聞きたい
- 矯正治療中の注意点を知りたい など




