- VISIT DENTAL
- 訪問歯科診療とは?

- おもな訪問歯科治療の内容です
- ●虫歯・歯周病の予防、治療
- ●入れ歯の作製、修理、調整
- ●口腔ケアで感染症予防
- ●誤嚥性肺炎の予防
- ●摂食嚥下障害のリハビリテーション など
- WHAT
- 口腔ケアとは?


- 「口腔ケアは口腔に関わる生理、機能、審美の改善保持を通して、全身の健康の維持増進を計るためのトータルケアである」とされており、口腔疾患の予防のみならず、誤嚥性肺炎の予防や、栄養状態の維持改善など、全身の健康維持に欠かせないケアです。
口腔ケアを必要としている人は、身体機能の低下に加え、多くの場合摂食・嚥下障害など何らかの口腔機能の低下がみられ、器質面だけでなく機能面からのケアが欠かせません。口腔ケアは、口腔内の歯や粘膜、舌などの汚れを取り除く器質的口腔ケアと口腔機能の維持・回復を目的とした機能的口腔ケアから成り立っており、このつが、うまく組み合わされることで、口腔ケアの効果がさらに高まります。
- 口腔ケアの目的
- ●むし歯、歯周病の予防
- ●口臭の予防
- ●味覚の改善
- ●唾液分泌の促進
- ●誤嚥性肺炎の予防
- ●会話などコミュニケーションの改善
- ●生活のリズムを整える
- ●口腔機能の維持・回復につながる
- ●口腔清掃の自立度低下
- ●口渇・味覚異常
- ●摂食困難
- ●認知機能の低下
- ●生活機能の低下・要介護状態
- ●歯科治療
- ●器質的口腔ケア
- ●機能的口腔ケア
- ●食べる意欲の改善
- ●栄養状態の改善
- ●認知機能の維持・回復(痴ほう予防)
- ●誤嚥性肺炎のリスク回避
- 生活の自立・生きる
意欲の向上







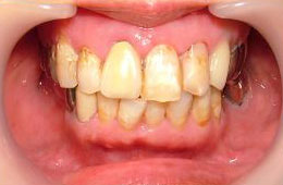
- 要介護高齢者などによくみられる義歯の汚れ
しかし、口の中が汚れていると防御機能がうまく働きません。口腔ケアは口の中をきれいにして唾液が良く出るようにしたり、口の中に入ったインフルエンザウイルスや風邪の細菌を洗い流せるという効果があります。
- PNEUMONIA
- 誤嚥性肺炎とは

体力が低下しているときや、薬や病気などによって嚥下の機能が落ちている場合、誤って気道(気管)に食べ物や唾液、水分が入り込んでしまう可能性が大きくなります。
口の中に食べ物のカスが長く残っている場合、雑菌が繁殖し、それが気道(気管)に入り込み、肺まで達し炎症を起こすと、『誤嚥性肺炎』となるのです。
誤嚥性肺炎は、寝たきりの方・高齢者の方などが発生しやすくなっています。 私たちの普段の生活の中で、水を飲んでいて、急にむせて苦しいことがありませんか?それは、誤嚥し、気道(気管)に水分が落ちたために起こります。 健康な体では咳などでそれを排除することができますが、体力が落ちている場合は危険な状態になるのです。
つまり、口腔内の機能低下を防止することが大切になるのです。
- 口腔ケアで老人の肺炎予防

実際に口腔ケアを実施した人と、口腔ケアを実施しなかった人を比べると
肺炎の発生率はおよそ40%減少させる効果があります。
- FLOW
- 訪問歯科治療の受診方法

- 1.
- 経験豊富な専門スタッフが対応

経験豊かな「歯科医師」「歯科衛生士」「ケアトリートメントコーディネーター」がチームを組むことで、迅速かつ丁寧な診療を提供させていただいております。
- 2.
- 通院するのと同じ治療が施設で受けられます

通院が困難な方の施設・病院へお伺いして、治療をおこなっています。「歯周病」「むし歯」の治療などほぼ同内容の診療が可能です。もちろん、衛生面も万全です。
- 3.
- 患者様に適した治療をおこなっています

ご都合のよい時間帯や費用面のご相談など、患者様に適した形の治療・診療をおこなっております。お気軽にご相談ください。
- 4.
- 『治療計画書』をつくり、治療内容を明確に

まず、歯科医師・歯科衛生士がお伺いして、無料でお口の診療をおこなっています。その上で、治療内容・期間・費用を明記した治療計画書をお渡ししております。
- 5.
- 治療+αのケア

治療はもちろん、お口の健康を保つためのアドバイスなど、快適な生活を送っていただくための幅広いお口の健康サポートをしています。
- 6.
- 訪問診療はすべて保険適応

出張費・謝礼など一切いただきませんので、ご安心してお問い合わせください。保険証だけご提示ください。
- SUBJECT
- 訪問歯科診療 対象の方

- 歯科医院への通院が困難な方
- ●高齢者の方や体が不自由な方
- ●寝たきりの方
- ●障害をお持ちの方、など
- 施設にご入所・ご入院されている方
- ●介護施設
- ●老人ホーム
- ●病院、など
- ご担当者の患者様がお口のお悩みをお持ちの方
- ●施設や病院の方
- ●ケアマネージャー
- 口腔ケアは十分できてますか?
- 「口腔ケア」とは、むし歯や歯周病、口臭などの原因となる歯垢や歯石、食べかすなどを取り除いて、お口の中を清潔に保ち、病気を積極的に予防するために行うケアです。
また、生活のリズムを作り、食べることや話すことをサポートし、生活の質(QOL)を向上させるという目的もあります。けれども、食事や排泄の世話はこまめにしても、歯みがきは本人任せや後回しという介護者は案外多いようです。
口の中はプライベートゾーンであり、他人はなかなかのぞきにくい場所ですが、口臭が強い、食が細くなった、よく熱を出すなどの症状がある場合は、口腔ケアが不十分な可能性があるので、見直してみましょう。毎日の口腔ケアの積み重ねが、お口と全身の健康につながります。

















