Implant
インプラント
インプラント治療とは?
失った歯の機能や審美(見た目)を元に戻す治療法が「インプラント治療」です。歯を失った部分にチタン製の人工歯根を入れて、その上に人工の歯を装着することで、再び噛む機能を回復させることができる治療となります。健康な歯や顎の骨に負担が少なく、長く審美性と機能性を維持できる特徴があります。
JR高槻駅直結の歯医者 高槻ステーション歯科
インプラントが優れている理由

しっかり噛める事で、心身ともに健康な生活が手に入る
入れ歯やブリッジと比べインプラントはご自身の歯と同じように良く噛めるようになります。噛める事は食事を楽しく摂れ、心身の健康的に保ちます。

周囲の健康な歯や歯茎への負担が他の治療法に比べ少ない
入れ歯やブリッジは、どうしても周囲の健康な歯や歯茎に負担が掛かります。インプラントは人工歯根のみで被せ物を保持するので、周囲の健康的な歯に対して負担が少なく済みます。

自然な見た目で、インプラントの治療跡が気になりません
インプラント体に装着する被せ物はセラミック・ジルコニアを装着します。見た目の美しさ・強く噛める機能性に優れた歯科素材なので自然歯と同じような見た目に治療できます。
JR高槻駅直結の歯医者 高槻ステーション歯科
インプラントの特徴
こんなお悩みありませんか?
- 最近固いものが噛めない
- 失った歯をなんとかしたい
- 奥歯がないので他の歯で補っている
- ボロボロの歯をなんとかしたい
- 入れ歯が痛くておいしく食べられない
- できるだけ痛みや腫れのない治療が良い
インプラント治療をする事により
- 固定式の歯をいれることができるので、通常の入れ歯のようなズレや食べ物のかけらが入った時の痛みがなく、天然の歯とほとんど同じ感覚で咬めます。
- 自然な外観や表情を取り戻すことができ、人前で話すこともまったく平気です。
- 噛む機能が回復することで食べ物の制限がなくなり、バランスの良い食事が楽しめます。
JR高槻駅直結の歯医者 高槻ステーション歯科
インプラント治療とは?
歯が1本抜けた場合
従来の治療

周りの健康な歯を削ってブリッジにします。
インプラント治療

健康な歯をまったく削ることなく歯のない部分にインプラントを入れます。
歯が数本抜けた場合
従来の治療

入れ歯を固定するための針金が見た目にも機能的にも不快です。
インプラント治療

針金付きの入れ歯ではなく、歯のない部分に適切な数のインプラントを入れ、固定式の人工歯を取り付けます。
歯が全部抜けた場合
従来の治療

入れ歯がズレたり、食べ物が内側に入って痛かったりします。
インプラント治療

数本のインプラントを入れて入れ歯の固定源となる維持装置を取り付けます。
JR高槻駅直結の歯医者 高槻ステーション歯科
安心のインプラント手術
当院では安心してインプラント手術を受けて頂く為にこのような設備などを揃えています。

専用オペ室を完備しています。

最新の歯科用CTを完備しております。

衛生管理を徹底しています。
JR高槻駅直結の歯医者 高槻ステーション歯科
当院で使用しているインプラント
むし歯、歯周病の予防
口臭の予防
味覚の改善
唾液分泌の促進
誤嚥性肺炎の予防
会話などコミュニケーションの改善
生活のリズムを整える
口腔機能の維持・回復につながる
当院では、スイス製のインプラントメーカーであるストローマン社製のインプラントを使用しています。ストローマンインプラントは、純チタンなので生体親和性に優れておりアレルギーも起こりにくいので安心です。ハーバード大学、ベルン大学などで研究されており、その信頼性は世界的に認められております。ストローマンインプラントは、歯槽骨との結合強度が高いため、丈夫で長持ちするのが大きな特長です。
JR高槻駅直結の歯医者 高槻ステーション歯科
骨造成について
インプラント治療で顎の骨が足りない場合に必要な「骨造成」という骨を増やす特別な処置
骨造成とは、インプラント体を埋入する際、顎の骨が足りない場合に「骨を造る」処置です。歯周病などで骨が溶けたりしている場合、骨造成によってインプラントを支える土台になる骨を再生させます。インプラント治療においては顎の骨の状態が何より重要となります。骨造成は、インプラント手術と同時に行うこともあれば、事前に行うこともあります。
骨造成の種類
GBR
GBRとは「骨誘導再生法」と呼ばれる術式で、インプラント体の埋入と同時に実施するのが一般的です。インプラント体を埋入して、骨が不足している部分に人工骨、骨補填剤を注入します。仕上げに「メンブレン」と呼ばれる特殊な膜を設置することで、骨の再生が誘導されます。インプラント体の埋入も同時に行うケースが多く、治療期間が大幅に延びるようなことはほとんどありません。
サイナスリフト
サイナスリフトは上顎洞挙上術の1種であり、上顎奥歯の部分の骨が足りない場合に実施されます。顎骨の高さが3~5mmに満たない場合にサイナスリフトが適応されます。サイナスリフトは、歯肉を切開して骨を造るためのスペースを作り、骨補填剤を注入します。ソケットリフトより負担の大きい術式ですが、骨を広範囲で再生することができます。
ソケットリフト
上顎奥歯の部分の骨が足りない場合に、上顎洞挙上術の1種であるソケットリフトで骨を造ります。骨の高さが3~5mm以上あるケースに適応され、満たない場合はサイナスリフトが適応されます。インプラント体を埋め込む方向から専用の器具を使って骨補填剤を注入して、骨の再生を促します。手術から約4ヵ月程度経過すると、インプラント手術を安全に行えるだけの骨が再生されます。
ソケットプリザベーション
インプラントをするにあたって、天然歯をまず抜かなければなりません。抜歯をすると歯があった場所に「穴」があいてしまいます。ソケットプリザベーションは、抜歯後の骨の吸収を防ぐために行う方法です。抜歯した穴に骨補填剤などを入れ骨の再生を促します。約4~9ヵ月程度経過すると抜歯後の穴が硬い骨で埋まるので、適切な時期にインプラントを埋入します。
JR高槻駅直結の歯医者 高槻ステーション歯科
インプラント治療の流れ
01
カウンセリング・診査
まずは患者さんの歯のお悩みを詳しくお伺いし、インプラント治療の流れをご説明していきます。その後、お口の中の現状を把握するため、問診・レントゲン・CTスキャンによる骨量の診査などを行ないます。
02
治療計画
診査に基づき、詳細な治療計画を立てていきます。お口の中の状態、残っている歯周の状態や顎の骨の状態により、インプラントの術式を決定します。
03
一次手術
インプラントを顎の骨に埋め入れます。外科手術となりますが局所麻酔をしますので、安心して手術に臨むことができます。
04
二次手術
再び歯肉を切開し、埋め入れてあるインプラントの頭部分を露出させます。そして、インプラントとの連結部分(アバットメント)と人工歯を装着します。噛み合わせなどの微調整を行ない、完了となります。
05
メンテナンス
インプラントは埋め入れたら完了といったわけではありません。その後のメンテナンスがとても重要となります。定期的に経過観察を行ない、定期的な歯のクリーニングを行ないましょう。
JR高槻駅直結の歯医者 高槻ステーション歯科
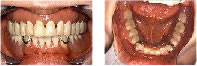
インプラント症例
当院で施術されました患者さんのインプラントの症例となります。
Before

左右の下歯がなくなられた状態です。
義歯をお入れになられた状態です。
After

インプラントと上の歯をつなげる土台をつけた状態です。
インプラントの下部の歯が装着されました。
| 症状 | 左右の下の歯がなくなったので義歯をお入れになりましたが、見た目にも機能的にもご満足頂けずインプラントご希望されました。 |
|---|---|
| 治療内容 | 歯がない部分にインプラント治療で歯を作ります。切開して顎の骨にインプラントを固定し、2~3か月後に下部構造(歯の部分)を装着してかみ合わせを回復させます。 |
JR高槻駅直結の歯医者 高槻ステーション歯科
インプラントのよくあるご質問
-
インプラント治療に年齢制限はありますか?
最低16歳以上(骨の成長がほぼ終了)で、医学的、解剖学的に条件が満たされている限りどなたでも受けることができます。
-
治療期間はどのくらいかかるのですか?
一般的に、顎の骨に入れたインプラントが周りの骨と結合するのに、使ったインプラントと人にもよりますが1.5ヶ月~6ヶ月かかります。その後、上に歯を入れるための期間がかかる場合とすぐに入れることができる場合があります。ストローマンの場合はインプラント手術後、数週間で上の歯まで入れることができます。(骨の状態など、様々な条件が良好な場合に限ります。相談ください。)
-
手術の際には入院が必要ですか?
ごく限られた特別な場合以外は入院の必要はありません。しかし、普通のインプラント手術でも手術後2~3日は安静にしてください。
-
インプラントはどのくらいもちますか?
チタン製でとても丈夫ですので半永久的に機能します。しかし、歯みがきが十分にできないで歯垢がついた状態にしていると天然歯と同様、歯槽膿漏のような状態になり、インプラントの周りの骨がやせてしまいます。このようになったインプラントは抜くしかありません。長持ちさせるためには毎日しっかりと歯みがきをし、定期健診を受けることをおすすめします。

