Tooth decay
むし歯治療
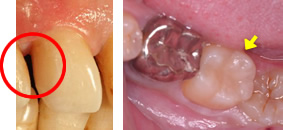
むし歯はなぜ出来る?
口の中にいる細菌は、糖分を栄養として酸を作りだします。その酸が歯を溶かし、むし歯になります。むし歯は歯を失う原因になります。早期発見・早期治療でなるべく歯を削る量を少なく抑えて、ご自身の健康な歯を長く保ちましょう。
JR高槻駅直結の歯医者 高槻ステーション歯科
むし歯予防
- 甘い物を食べ過ぎないようにし、だらだら食べをせず、よく噛んで食べるようにする。
- 適切な歯磨き(ブラッシング)をし、キシリトールやフッ素などで歯質の強化を図る。
むし歯ができてしまったら?
予防をしっかり行っていても、むし歯が出来てしまった場合は、初期むし歯以外は放置しておいても良くなる事はありません。むし歯が小さいうちに早期治療するのが、歯の寿命を延ばす事に繋がります。
JR高槻駅直結の歯医者 高槻ステーション歯科
むし歯治療について
小さいむし歯や前歯の隣接面にむし歯がある時はCR(樹脂)を使った治療方法を行います。
1.むし歯や被せ物を除去
むし歯を削り、既存の被せ物を除去していきます。
2.CR
CR(樹脂)の充填を行い、光をあてて硬化させていきます。噛み合わせの調整・形を整える・研磨などで仕上げていきます。
数種類の色の中から選択し、ある程度自分の歯の色に合わせて出来、1回の治療回数で出来ます。
※プラスチックの材質の為、経年的に色の変色が起こる場合があります(擦り減ったり、割れてしまう事もあります)
むし歯が大きくなりCRなどでは治療が出来ない場合は、むし歯を除去した後に型取りをして、
かぶせ物(インレー・FCKなど)を入れます。
1.むし歯の除去
奥歯の歯と歯の間にできたむし歯は、比較的小さいむし歯でも型取りをして治療します。
2.薬で炎症を抑える
むし歯が大きかった場合、むし歯の除去後に神経の炎症を抑えるお薬を入れ様子(約1週間)を見ます。痛みがなければ型取りをし、痛みが治まらない時は神経の処置を行います。
3.型取り
歯を削った箇所に詰め物や被せ物を装着するための、歯の型どりを行います。
4.被せ物の装着
出来上がった詰め物や被せ物を装着します。詰め物・被せ物は保険適用の場合、約1週間。自費診療の場合、約2週間で完成します。
さらにむし歯が進行して、歯の根っこの治療が必要になった場合は
根管治療後に歯の土台を入れて、大きい被せ物を入れます。
1.抜髄・根管治療

歯の根に入ったむし歯を根管治療にて除去します。歯の根にある神経を除去します。
2.土台の装着

被せ物を装着するための土台を装着します。
3.被せ物の装着

出来上がった被せ物を装着して完成です。
詰め物・被せ物には、保険適用のものと自費のものがあります。
保険適用:自己負担金が安く、治療時間・期間も短い。金属や樹脂の詰め物・被せ物は変色したり・再治療が必要になる場合もあります。
自費:金額が高く、治療時間・期間も長い。審美性が高く、汚れがつきにくいが割れる恐れがある。
JR高槻駅直結の歯医者 高槻ステーション歯科
歯を失った場合の治療
抜歯が必要になった場合、抜歯後はブリッジや入れ歯・インプラントなどの治療方法を行います。
歯を喪失した場合、抜いた部位や本数によって異なりますが、以下のような方法で治療を行います。
歯を失ったままにしておくと、噛みにくくなったり、隣の歯や噛み合う歯が移動したりして噛み合わせが悪くなる事があります。
ただし、悪影響が少ない場合は抜けたままにする場合もあります。
ブリッジ

1~2本失くしてしまった歯の代わりになる大きな被せ物です。むし歯になっていない両隣の歯を大きく削る必要があるので、負担をかけてしまう事になります。
義歯(入れ歯)

着脱式の義歯(入れ歯)です。どのような歯の欠損にも対応できます。健全な他の歯にあまり負担をかけません。違和感が大きかったり、外れやすかったりします。
インプラント

失われた歯に代えて顎骨に埋め込む人工歯です。自分本来の歯と同じように食べたりすることが出来、健全な歯を削らなくても良いが、自己負担額が高く、治療期間・時間が長い。

