denture
義歯(入れ歯)
入れ歯の作成・修理などお困りごとご相談ください
義歯(入れ歯)とは喪失した歯を補う為の補綴装置の総称である。架工義歯、有床義歯、インプラント義歯などがある。一般的に有床義歯(入れ歯)の事を指す事が多い。欠損歯の修復治療として一般的な治療で、素材によって特徴や寿命なども変わってきます。
JR高槻駅直結の歯医者 高槻ステーション歯科
義歯の構造
床(しょう)
保険の義歯では、熱可塑性樹脂という樹脂を使用します。保険外になると、金属を使用する義歯(金属床義歯)や、弾力のある樹脂を使用する義歯(ノンクラスプデンチャー)などがあります。
人工歯
保険の義歯では、レジン歯とよばれる合成樹脂を使用します。保険外になると、陶歯(セラミック)を使用するものもあります。
クラスプ
保険の義歯では、金属を使用します。保険外になりますが、金属を使用せず、歯茎と同じピンク色の樹脂を使い、目立ちにくくすることもできます。
連結子
離れた位置にある床やクラスプをつなぐ連結する部分です。
JR高槻駅直結の歯医者 高槻ステーション歯科
義歯の種類
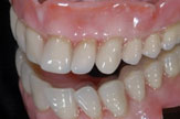
総義歯(総入れ歯)
総入れ歯には、様々な種類があります。義歯床がプラスチックで出来た保険の総入れ歯。義歯床が金属で出来た金属床。磁石で入れ歯を固定する磁性アタッチメント義歯。あごの骨にインプラントを打ち込み、土台にするインプラント義歯があります。
部分床義歯(部分入れ歯)
部分入れ歯にも、様々な種類があります。クラスプ(金属の止め金)を歯に引っかける保険の部分入れ歯。クラスプに金属を使わず、ピンクのプラスチックを使用したノンクラスプ部分入れ歯。義歯床が金属で出来た金属床部分入れ歯があります。
JR高槻駅直結の歯医者 高槻ステーション歯科
義歯の特徴
総義歯(総入れ歯)

保険適用/費用:10,000円~
保険治療の総入れ歯は、プラスチックで出来ているので割れやすく、違和感が強いですが、安価で修理が出来るというメリットがあります。

保険適用外/費用:250,000円~
自由診療の総入れ歯は、保険のものと比べて違和感が少なく、食事の味や、熱さ冷たさをしっかり感じる事ができます。機能性や審美性に優れています。
部分入れ歯(部分床義歯)

保険適用/費用:5,000円~
保険治療の部分入れ歯は、クラスプ(金属の止め金)が掛かるので少し目立ち、違和感がありますが、安価で修理もしやすいというメリットがあります。

保険適用外/費用:100,000円~
自費治療のノンクラスプ(エステティック義歯)部分入れ歯では、止め金部分が柔らかく、目立ちにくく、違和感も少ないというメリットがあります。
JR高槻駅直結の歯医者 高槻ステーション歯科
義歯作製の流れ
01
入れ歯の型採りをします
入れ歯はサイズがピッタリ合わないと不安定になりやすいので、精密にとります。
02
噛み合わせの位置を確認します
ロウでできた土台を口の中に入れ、顔の調和や、噛み合わせの高さと位置関係をきめます。
03
人工歯を並べて、歯の並び、噛み合わせ、色などを確認します
歯肉に見立てた赤いロウの上に人口歯をならべて、噛み合わせ、歯ならびなどを確認していきます。
04
入れ歯が完成します
仕上がった入れ歯を口の中に入れピッタリと合い、きちんと噛めるかを実際に診査し、調整したあと、完成となります。
JR高槻駅直結の歯医者 高槻ステーション歯科
義歯のお手入れ・保管方法
- 義歯の着脱は必ず指や爪で行います。
- ご飯を食べた後は外して流水で汚れを落とし、歯磨き粉はつけずにブラシで磨きます。部分入れ歯は固定バネまでしっかり洗って下さい。
- 夜寝るとき(外しているとき)はお水に入れたケースに保管します。その際、義歯洗浄剤を使用する事をおすすめします。
※お口のトラブルを防ぐためにも、一日6時間程度外すようにして下さい。
JR高槻駅直結の歯医者 高槻ステーション歯科
予後・寿命
- 使用していくうちに痛みがでたり、ゆるくなったりすることがあります。はじめは慣れなくて違和感があるかもしれませんが、少しずつ調整して、自分に合った義歯になっていきます。 市販の粘着剤などを購入される前に来院して正しい調整を受けて下さい。
※歯肉部分にあたって痛い、付けにくい、はずしにくい、グラついて安定しない。 - 入れ歯を長持ちさせ、気持良く使い続けることには定期的に診察を受け、調節をしていくことが大切です。

