- NEGLECT
- 虫歯を放っておくと


- 虫歯の進行度合いがC3、C4(場合によってはC2でも)になった場合は
残念ながら神経をとり、根の治療をしなければなりません。
- FLOW
- 根管治療の手順


- 抜髄(歯の神経を取る処置)
ファイルという器具を使用し、神経や汚染物質を取ったり、根の中の形を整えます。


- 感染根管処置
根管長測定器(根の長さを計る機械)を使用して、汚染されている部分を除去していきます。


- 根管形成
殺菌・炎症を鎮める為に根管貼薬剤(目的により色々な種類があります)を使用して、根の内部の汚れを綺麗に除去・根の形を整えます。


- 根管充填
根の中に細菌などが入ってこないよう、根の中を根管充填剤(ゴム製の防腐剤とセメント)で緊密に埋めていきます。


- 被せ物の製作
歯の土台を作成し、被せ物の型どりをしてから装着していきます。
- ESSENCE
- 抜髄(歯の神経を取る治療)

- 虫歯からの感染や外部からの刺激により、歯の神経に炎症が起こります。
神経の状態が元に戻らない場合、神経を取る処置を行います。 
- 1. 麻酔をして虫歯を除去
- 2. ファイルを使って神経を取る(神経を取った後すぐはその刺激により痛みを起こすことがありますが、徐々に治まっていきます)
- ●痛みやしみるという症状を感じなくなる。
- ●神経のある歯に比べるともろくなり、割れたりしやすくなる。
- ●神経を取った歯の寿命は約30年と言われています。
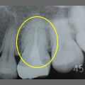
抜髄症例
主訴:3日前から何もしなくても前歯が痛む

- 虫歯が大きく神経まで達している為、虫歯を除去し抜髄

- ファイルを使って根の長さを測定・根管形成(根管-神経が入っていた管-を根管充填しやすい形に整えること)

- 根管充填剤が根尖(根の先端)まできっちりと充填
- INFECTED
- 感染根管処置

根の中や先に細菌が存在すると、根の周囲に炎症が起こります。
この場合、細菌を除去し炎症を抑える治療を行います。
この場合、細菌を除去し炎症を抑える治療を行います。

- 1.古い詰め物・被せ物や土台を外す。

- 2.ファイルを使って、根の内部や先の汚れをキレイに除去する。

- 3.根の中に細菌が入らないようにお薬を敷き詰める。
むし歯が神経まで進行して、歯髄が感染壊死した場合や、根管充填が不十分で根管内が感染している状態を感染根管といいます。ひどい場合は歯根嚢胞(歯の根っこの主に先端にできる膿の袋)ができたり、婁孔(膿の出口、歯茎にできた、できもののように見えるもの)ができたりします。
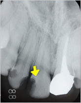
感染根管処置症例.1
主訴:2日前にかけたが、痛みやしみる症状はない。

- 被せ物を外し、過去に行った根管充填が不十分だった為、再度感染根管処置を行う。

- 1番細いファイルを使って、未治療の根の先まで到達したことを確認。

- ファイルを使って根っこの長さを測定・根管形成(根管-神経が入っていた管-を根管充填しやすい形に整えること)

- 根管充填剤が根尖(根っこの先端)まできっちりと充填されている。
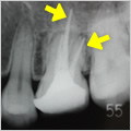
感染根管処置症例.2
主訴:前歯に違和感がある。

- 過去に根管治療を行っていたが、感染を起こし根の先に大きな膿の袋が出来ている。

- 再度根管治療を行い、根の内部から膿の袋に直接薬を作用させている。

- 根管充填剤が根尖(根の先端)まできっちりと充填されている。術前に存在した大きな膿の袋は消失してきている。
- DAYS
- 治療期間は?

- 治療回数
- 治療する歯の種類(根の数)や炎症の程度によって異なります。1回で終わる方もいれば、数回は通って頂く方もおられます。根っこの数は奥歯になるにつれて増えていくので治療回数も増えていきます。
- 来院目安
- 約1週間に1回。歯科医師の指示により前後する場合もあります。次回処置までの期間が短いと、根の中に入れた消毒の薬の効果が薄くなり、期間が長くなると、仮蓋が外れてしまう場合があり、そこから細菌が入ると炎症を起こす可能性があります。
- CAUTION
- 根管処置時の不快症状・注意事項

根っこの治療を行いますと一時的に下記のような症状が出ることがあります。
ほとんどの場合、数日で快方に向かいます。
ほとんどの場合、数日で快方に向かいます。
- ●処置後痛みが生じる
- ●歯が浮いたような変な感じがする
- ●歯を噛み合わせたり、物を噛むと痛い
- ●歯茎が腫れる
- お薬が処方されている場合は、指示通り服用して下さい。痛みがある時は痛み止めをお飲み下さい。
一時的に症状が治まっていても、最後まできっちりと治療を完了しないと、再び悪化して最終的には歯を抜かなければならない状態になりますので、必ず指定された日時にご来院ください。














